こんにちは。
高槻市の歯医者「かすや歯科クリニック」院長の加須屋です。
前歯の矯正(部分矯正・前歯だけの矯正)は、全体矯正よりも比較的軽度な治療で済むことが多く、費用や期間の面でも人気があります。
ただし、目的や状態によって向き・不向きがあります。
当院ではインビザライン GOのインストラクター・講師で全国の歯科医師の先生方に前歯の矯正の治療方法を説明・指導している院長が治療を一括して行います。
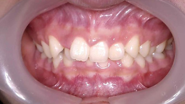
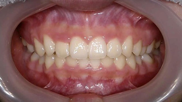
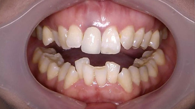
その症例の一部を治療前・治療後の写真で見ていただきます。




どちらの患者様も、抜歯をせず矯正治療を行なっています。
マウスピース矯正にはメリット・デメリットがあります。
前歯の歯並びが整うことで、笑ったときの印象が大きく改善されます。
半年から1年ほどで終わるケースが多いです。
前歯だけの部分矯正で済むため、全体矯正の半額以下の治療費になります。
マウスピース矯正(当院ではインビザライン GO)、目立たない矯正方法が選べます。
抜歯や大きな骨格の移動が不要な場合が多く、比較的負担が少ないです。
前歯の見た目だけを整えるため、根本的な咬合(かみ合わせ)の問題が残る可能性があります。
インビザライン GOプラスを使用することで、奥歯の改善も可能になりました。
前歯は動きやすく、治療後にリテーナー(保定装置)を怠ると元に戻りやすいです。
保定期間は2年ほど、その後は就寝時のみの使用を推奨しています。
無理な動きをさせると、歯根吸収や歯肉退縮のリスクがあります。
骨格的な問題や重度の不正咬合がある場合、抜歯を行い全体矯正が必要な場合があります。
歯科医師主体の矯正治療から、患者さん主体で希望に合った矯正治療を行得るように努力しています。
マウスピース矯正で前歯のガタガタの改善をご希望の方は、まずはお気軽にご相談ください。ご相談ください。
高槻市の歯医者
かすや歯科クリニック
院長 加須屋 歯科医師











