- 小児矯正について

- 3歳~12歳までの子供の矯正治療
- 小児矯正は、お子さまが小さいうちに歯並びや咬み合わせの問題を解消するための治療です。成長期に歯並びや噛み合わせの問題を放置してしまうと、将来の歯並びが悪くなってしまうだけでなく、体の成長や健康に悪影響を与えてしまうことがあります。子どものうちに歯並びを改善しておくことは、心身への負担を抑えながら成長過程にそって治療を進められるメリットがあります。
始めるのがお勧めです!
- 小児矯正のメリット
- 顎の成長に合わせ歯並びを調整できる!

子供の小児矯正は、顎の成長を利用して正しい歯並びになるよう導く治療です。12歳~ごろになると顎の成長がある程度止まり歯の移動が難しくなるので、それ以前に負担の少ない状態で歯並びを改善できます。
- 抜歯せず矯正治療ができる可能性が上がる!

矯正治療で抜歯が必要になるケースは、永久歯がはえるスペースが足りない場合に必要になります。子供の頃から矯正治療を始める事で、将来的に永久歯を抜歯せずに本格矯正ができる可能性が高くなります。
- 歯並びに悪影響がある癖を予防できる!

歯並びが悪くなる原因として、指しゃぶりや食べ物の食べ方などに大きく影響されます。子供の頃からお口の筋肉や舌の動きのトレーニングをしていると、お口の正しい筋肉の動きが習得できるようになります。
- 子供の顎骨は柔らかく歯が動きやすい!

顎が成長段階の歯は、永久歯に比べ少しの力でも歯が動きやすく、矯正治療の効果も出やすいというメリットがあります。大人の矯正治療に比べ、お子様の痛みや治療中の違和感も少なく矯正治療ができます。
- 小児矯正と子供の年齢
- 3~6歳ごろ

乳歯列期の矯正治療になります。乳歯の頃は永久歯が正しく真っすぐに生えるための準備期間になります。この時期は、骨が柔らかく、お子さまに負担が少なく、比較的簡易的な矯正装置で骨格に成長アプローチをすることができます。顎の歪みを正したり、虫歯予防の効果があったりと、矯正開始するのに適した時期です。
- 6~12歳ごろ

乳歯から永久歯に生え変わる時期から行う矯正治療です。永久歯が正しく並ぶように、顎の成長に合わせて歯並びを調整します。上下の顎のバランスを整え、正しい歯並び・噛み合わせを目指します。成長を利用するというのはこの時期でないとできない矯正治療です。
- 小児矯正の装置について
- ムーシールド
- 子供の矯正治療はまず、
『受け口』の改善が最初の治療方法です。

寝るときにのみ『ムーシールド』というマウスピースを使用して受け口の改善を行います。3歳~7歳くらいまでが適応年齢になりますが、ご自宅で、下の歯が上の歯より前に出ている場合はすぐに受診をお勧めします。写真のような装置で、上顎に装着して受け口を改善します。3ヶ月から6ヶ月ほど装着していただきます。
- 拡大床(かくだいしょう)
- 前歯がガタガタしていて永久歯がはいりきらない場合、
『拡大床』という取り外し可能な装置を装着します。

上下顎に写真のような装置をはめて、1週間に2回ダイヤルを回すことで、ピンク色の部分がゆっくり側方に拡大していきます。歯が生える土台となる顎を拡大して、歯を並べるスペースを作ります。この装置のみで矯正治療が終了することもありますが、最後にマウスピースで歯並びを整える必要がある場合もあります。
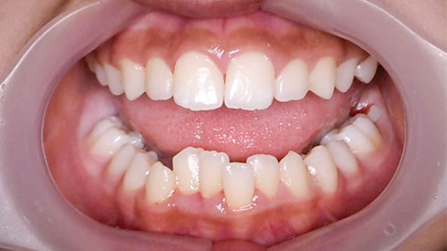
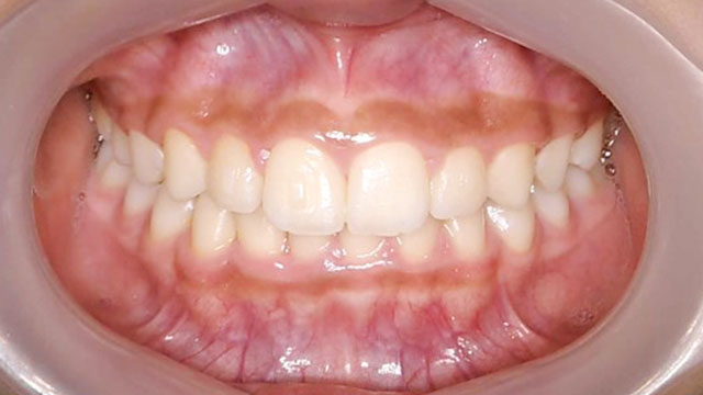
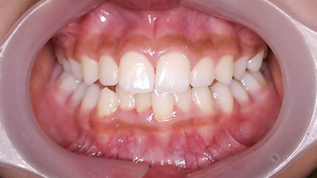
- 小児矯正の症例
術前
術後

術前
術後

- 【治療方法】
- 拡大床+マウスピース矯正
- 【治療期間】
- 治療期間 約1年
- 【治療の説明】
- 拡大床は就寝時のみの使用で、学校では装着しなくて問題ありません。
- 小児矯正の無料相談について

- 小児矯正の無料相談ご案内
かすや歯科クリニックでは、小児矯正の無料相談を実施しています。子供の矯正が必要なのか?矯正を始めるならいつ頃が良いか?費用や治療期間など、様々な疑問にお答えさせて頂きます。矯正症例の豊富な当院で、子供の歯並びについてお悩みをお聞かせください。
虫歯治療、乳歯の抜歯などは保険治療で処置が可能です。











