こんにちは。
高槻市の歯医者「かすや歯科クリニック」院長の加須屋です。
前歯の出っ張りと、下の歯のガタガタを治したいという方の矯正症例です。
18歳の女性、治療期間は約6ヶ月です。
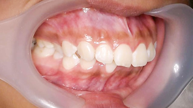
前歯の出っ張り

初診時の写真になります。
上の前歯が少し突出しています。
ワイヤー矯正であれば、小臼歯(4番目の歯)を4本抜歯して、矯正治療を行う可能性があり、その場合は、治療期間は約3年になります。
奥歯を抜歯することで、噛み合わせの変化、歯を支えている骨の吸収、歯の移動量が多いことで歯の神経損傷のリスクなどが考えられます。
歯を抜かずに、マウスピース矯正を行うことを希望し受診されたので、3Dのセットアップを作成し治療を行いました。

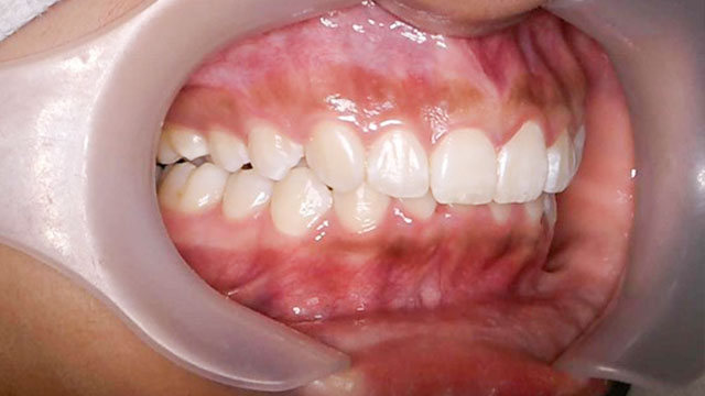
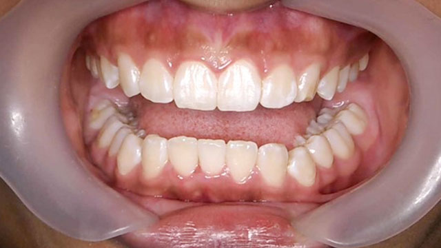
治療後写真です。
前歯はスッキリとしているのがわかります。奥歯の噛み合わせは変化しない治療方法ですので、治療前とほとんど変わりなく食事が可能です。
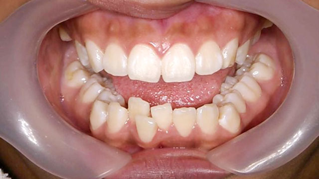
下の歯

下の歯はガタガタしていましたが、

右の歯と同時に治療して綺麗になりました。
まとめ
当院の矯正治療は前歯に特化しています。
もちろん、奥歯を動かすマウスピース治療も可能です。
一度ご相談ください。
高槻市の歯医者
かすや歯科クリニック
院長 加須屋 歯科医師











