- 当院の矯正治療について
- 大阪府個人歯科医院
インビザライン GO
患者様 NO.1治療実績 
かすや歯科クリニックは、2022年・2023年・2024年・2025年と多くの患者様に来院いただき、インビザライン GOを使用してのマウスピース矯正治療実績1位 GOLD Ⅱ グレード、PLATINUMグレードのプロバイダーの資格を保有しています!!!
今回、2026年に関しても多く治療実績があることから、GOLD Ⅱ PROVIDERの資格実績となりました!!!マウスピース矯正治療に関するご質問などは、LINEからでも相談可能です。
ご相談ください。

- 最短2ヶ月~

- 費用40万円~

- 抜歯はしない
前歯のみの短期間矯正
- 初診時の矯正相談は
無料です。 - 30分間の無料相談をしております
- かすや歯科クリニックでは、歯を抜かない矯正『インビザラインGO』と、
日本製マウスピースを採用しています。


- インビザラインGOの症例紹介
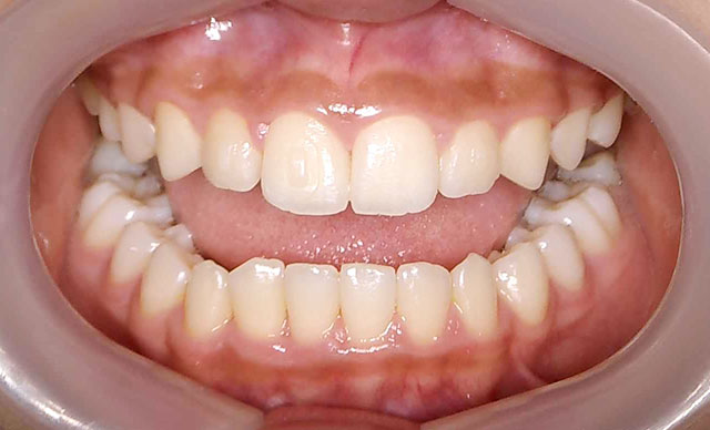
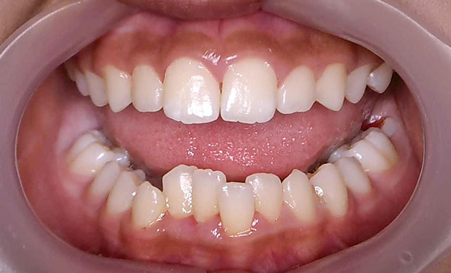
- case.1
術前
術後

症状:すきっ歯治療期間約5ヶ月
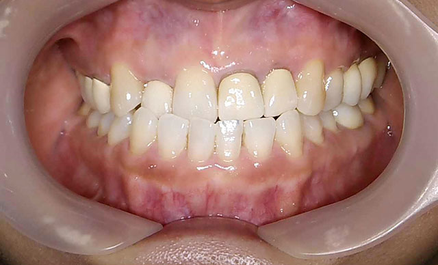
- case.2
術前
術後

症状:ガタガタ治療期間約7ヶ月
- case.3
術前
術後

症状:出っ歯治療期間約3ヶ月
- case.4
術前
術後

症状:上の前歯が後ろにある治療期間約2ヶ月半
- case.5
術前
術後

症状:歯が傾いている治療期間約5ヶ月
- case.6
術前
術後

症状:前歯が開いている治療期間約4ヶ月
- case.7
術前
術後

症状:上下ガタガタ治療期間約10ヶ月
- case.8
術前
術後

症状:すきっぱ治療期間約4ヶ月
- case.9
術前
術後

症状:八重歯がでている治療期間約6ヶ月
- case.10
術前
術後

症状:口が閉じれない治療期間約6ヶ月
- case.11
術前
術後

症状:ガタガタ+前歯をやりかえ治療期間約8ヶ月
- case.12
術前
術後

症状:受け口(下顎前突)+前歯のやりかえ(ジルコニアセラミック)治療期間約8ヶ月
- 【治療方法】
- インビザライン GO
- 【治療方法の説明】
- マウスピースを上下(片側の場合もあり)に装着していただき、歯並びをキレイに改善する治療です。1日20時間以上の装着が必要です(食事の時と歯磨きの時は外してください)。
- 【治療のリスク】
- 歯と歯の間を専用の細い器具で削りスペースを作ることがあります。アタッチメントと言われる樹脂を歯に取り付ける必要があります。後戻りの可能、計画通りに歯が動かない場合もあります。
- 【治療費用】
- 40万円~53万円(税込)
- インビザラインGOの特徴

- 奥歯以外の10本の歯を対象にしたマウスピース型矯正装置『インビザラインGO』

- 初回相談時にインビザラインGOでの矯正治療が可能か診断ができます!

- 透明なマウスピース型矯正装置なので、治療中も目立ちにくい!

- インビザラインGOは、矯正治療期間が半年以内と短期間での歯並び改善が可能!

- 取り外し可能でお口の中は矯正治療中も清潔に保てます!

- インビザラインGOで歯並びを改善しながらホワイトニングも同時にできます!
- インビザラインGOは
このような方にお勧め

- 目立たない矯正がいい

- 費用を安く抑えたい

- 1箇所の医院で矯正治療もクリーニングもしたい

- 楽に矯正治療を進めたい

- 治療期間を短くしたい

- キレイな歯並びを手に入れたい
- という患者さんのニーズを最大限引き出せる矯正治療です。
- また、当院で採用していますインビザラインGOは、前歯の矯正に特化していますので、奥歯の噛み合わせはそのままで前歯をキレイに並べることができます。治療期間も約3~5ヶ月(個人差あり)と短期間です。興味のある方はお問い合わせください。

- インビザラインGO無料相談のご案内
インビザラインGOでの矯正治療をご検討の患者様に矯正無料相談を実施しています。矯正治療に関しましてご不明点などございましたら何でもお気軽にご相談下さい。トータル費用や治療期間を抑え、患者様にご負担の少ない矯正治療をお探しの方には「インビザラインGO」は最適な矯正治療法です。
『スマイルビュー』のご案内


スマートフォンやタブレットで笑顔の自撮りをするとその場で、
歯並びが変わると印象がどのように変化するかを確認することができます。

- スマイルビューへのアクセスはQRコードかこちらよりアクセスください。
- 日本製マウスピースの特徴

- 治療期間が短縮できる

通常の2/3~1/2程度の期間で治療可能

- 中がゴムのため着脱が簡単


- 型取りから3Dアニメーション作成が早い

- 日本製マウスピースの適応症例

- 日本製マウスピース無料相談
のご案内
日本製マウスピースでの矯正治療をご検討の患者様に矯正無料相談を実施しています。矯正治療に関しましてご不明点などございましたら何でもお気軽にご相談下さい。日本製マウスピースが患者様の状態に適した矯正方法なのか検査・診断させていただきます。
- 日本製マウスピースの症例紹介
- case.1
術前
術後

治療期間約4ヶ月
12歳男性
- case.2
術前
術後

治療期間約4ヶ月
10歳男性
- case.3
術前
術後

治療期間約10ヶ月
12歳女性
- 【治療方法】
- 日本製マウスピース
- 【治療方法の説明】
- マウスピースを上下(片側の場合もあり)に装着していただき、歯並びをキレイに改善する治療です。子供さんの場合は、就寝時(8~10時間)装着していただきます。
- 【治療のリスク】
- 歯と歯の間を専用の細い器具で削りスペースを作ることがあります。アタッチメントと言われる樹脂を歯に取り付ける必要があります。後戻りの可能、計画通りに歯が動かない場合もあります。
- 【治療費用】
- 36万円(税込)
※マウスピース20枚まで(その後1枚につき1万円)
- 矯正治療のよくあるご質問
- 無料相談の後に、矯正治療をするかどうか決めれますか?
- 問題ありません。当院で行なっているマウスピース矯正の説明、う蝕の有無、その他の治療必要ば部位などお話しさせていただきます。その後、治療をするか決めていただいて問題ありません。
- 他院で相談してから、再度無料相談を受けれますか?
- 問題ありません。他院で相談を受けられて、もう一度来院していただいても結構です。ご予約の際に、再度矯正相談をしたい旨を受付にお伝えください。
- 小児矯正はしていますか?
- 行っています。3歳~小学校高学年は既成のマウスピースを使用します。また小学校高学年からは型取りや写真撮影などおこない、データを採取させていただき、後日治療方法を説明します。基本的にはマウスピースを用いた矯正治療を行います。
- 大人になっても矯正できますか?
- 大人の方でも問題ありません。矯正治療に年齢制限はありませんのでお気軽にご相談ください。
- 虫歯になりやすかったりしますか?
- 当院ではマウスピース治療を行っていますので、ワイヤー矯正とは異なり、歯磨きがしやすい状態ですし、衛生士によるお口の中のケアも定期的に行います。
- 矯正治療後は後戻りしますか?
- 矯正期間終了後はリテーナーという後戻り防止の保定装置を使用していただきます。基本的には1年から2年は使用していただき、その後は就寝時のみ使用していただきます。











