0726589819

9:30-13:30/15:00-19:00

⇒ネット予約
かすや歯科ブログ
BLOG

こんにちは。
高槻市の歯医者「かすや歯科クリニック」院長の加須屋です。

 

上下のガタガタを歯を抜かずに治したい、30歳の女性です。
治療期間は約8ヶ月でした。

 

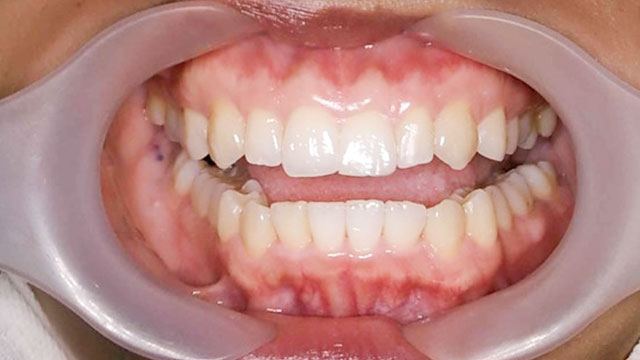
初診時の写真

上と下のガタガタを歯を抜かずに治したい
 

 

上の歯が少し前に倒れていて、下の歯はガタガタしている印象です。
また下の歯列はV字歯列で顎が小さく狭い印象です。

 

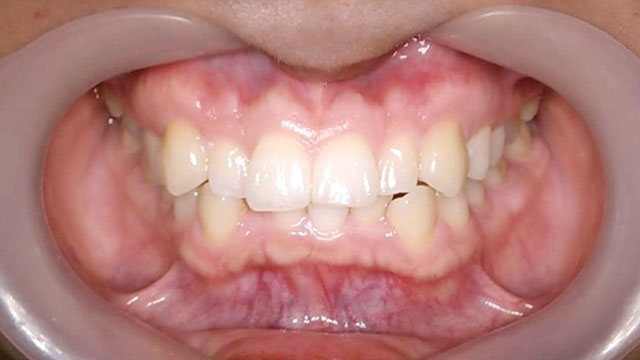
3Dのセットアップを作成し、患者さんと最終的な歯並びをパソコン上で確認し、治療方針を共有してから矯正治療をおこないました。

 

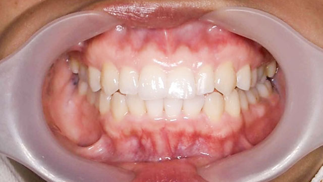
治療後の写真


 

 

歯を抜かずに綺麗になりました。
前歯は内側におさまって、下の歯のガタガタした歯列も綺麗になっています。

 

V字歯列もU字歯列に改善され、舌の動きがスムーズになります。
奥歯は動かしていないので、大きな噛み合わせの変化もなく矯正治療が終了します。

 

まとめ

抜歯矯正が嫌、ワイヤー矯正が嫌、短期間で費用を抑えたい方は一度ご相談ください。

 

 
 

高槻市の歯医者
かすや歯科クリニック
院長 加須屋 歯科医師

 
医院のご案内
CLINIC
ご予約
新患・急患随時受付けしております
0726589819

9:30-13:30/15:00-19:00(土曜午後14:30-17:00)

診療時間
9:30-13:30
15:00-19:00
  • )土曜午後14:30-17:00 / 木曜午後・日曜・祝日 休診
〒569-1123
大阪府高槻市芥川町1-10-13
  • JR高槻駅より徒歩約3分の駅近の歯医者
  • 阪急高槻市駅より徒歩約10分
  • 高槻市営バス「芥川商店街」より徒歩約1分
お車でお越しの方
お車でお越しの方

提携パーキングはありませんので隣接するコインパーキングのご利用をお願い致します。

電車でお越しの方
電車でお越しの方

JR京都線「高槻」駅の北出口より徒歩約3分。阪急「高槻市」駅よりJR高槻駅方面へ徒歩約10分。

バスでお越しの方
バスでお越しの方

高槻市営バスで「芥川商店街」停留所でお降り下さい。バス停から当院までは徒歩約1分です。

お問い合わせ
院内設備のご紹介
かすや歯科ブログ
かすや歯科クリニックの求人情報