こんにちは。
高槻市の歯医者「かすや歯科クリニック」院長の加須屋です。
マウスピース矯正治療の治療期間は、当院では平均6ヶ月ほどですが、それよりも早く治療を望む患者様も来院されます。
セラミック(ジルコニア)で歯に被せを行い、審美的にも改善が可能な治療法『セラミック矯正』です。
特徴としては、仮歯の準備が整えば、最短2週間で綺麗な歯が、綺麗な位置に並びます。
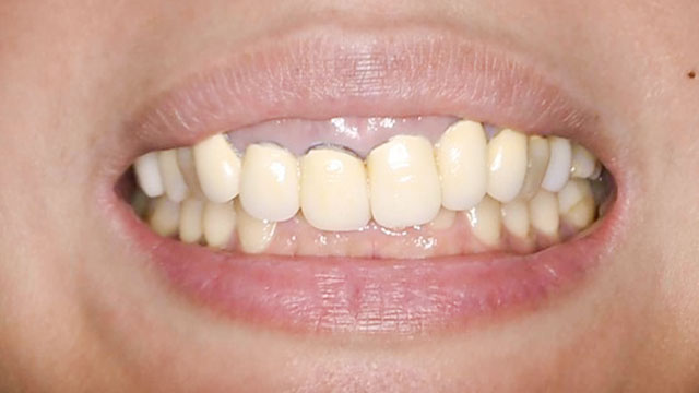
八重歯から八重歯まで古い保険の被せ物を使用されており、審美的な改善を目的に受診されました。
セラミック矯正の症例①

歯の角度の修正なども希望されたので、被せものでの治療選択されました。

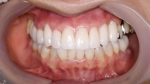
フルジルコニアの被せ物で綺麗に仕上げました。
セラミック矯正の症例②
また違う患者様は、矯正治療もお考えでしたが、短期間で治療が可能なセラミック矯正を希望されて処置を行いました。


まとめ
被せ物の色合いやポジション、角度などは患者様と相談の上決定します。
また、技工士とも相談し作らせていただいております。
前歯の治療をお考えの方、一度ご相談ください。
高槻市の歯医者
かすや歯科クリニック
院長 加須屋 歯科医師











