こんにちは。
高槻市の歯医者「かすや歯科クリニック」院長の加須屋です。
混合歯列期、乳歯と永久歯が混在している期間に、永久歯の生えてくるスペースが狭い場合があります。
その際の第一選択肢は『拡大床』です。
その症例の一部を治療前・治療後の写真で見ていただきます。
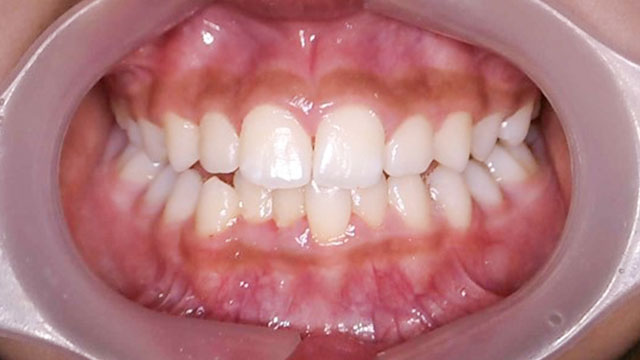
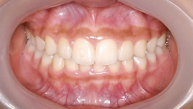
治療前


上の歯が少し出っ歯で、下の歯がガタガタしています。
拡大床とマウスピースで整えると…
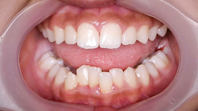
治療後


上下とも綺麗な位置になりました。
上の歯は出っ歯が改善されています。
下の歯は、奥歯が舌の方に倒れていたの改善、前歯のガタガタも綺麗に改善しています。
抜歯を行わずに治療をしています。
まとめ
こちらの小児矯正に関する症例は、拡大床で狭い歯列を骨から大きくして、少しスペースができたところで、マウスピースで調整する方法です。
お子さまの歯並びでお悩みがございましたら、ぜひ一度ご相談ください。
高槻市の歯医者
かすや歯科クリニック
院長 加須屋 歯科医師











